Recomendaciones para el inicio de un tratamiento de ortodoncia con aparatos fijos.


Por favor lee las siguientes recomendaciones para tener un tratamiento de ortodoncia exitoso con aparatos fijos. 1. Recuerda que es absolutamente normal sentir dolor los primeros 7 días de tratamiento. Te aconsejamos comer alimentos blandos para que puedas sobrellevar de mejor manera este periodo. En ocasiones recomendamos un analgésico los tres primeros días luego de […]
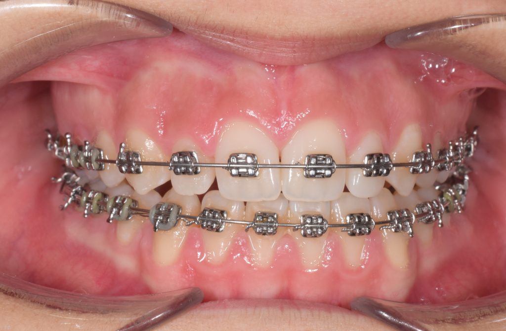
Ortodoncia con brackets metálicos.


Ortodoncia con bracket metálicos Carolina es mama de Roberto quien ya tiene 13 años. Un día Roberto le dice a su mamá que ya todos sus compañeros en el curso usan frenillos y que él piensa que necesita también. Carolina decide consultar a un ESPECIALISTA en ortodoncia donde se le recomienda iniciar el tratamiento de […]
Ortodoncia lingual: Guía paso a paso.


Paso a paso todo lo que necesitas saber para iniciar un tratamiento con brackets linguales
Ortodoncia lingual o Invisalign, cual tratamiento es mejor?


Ortodoncia Lingual o Invisalign? Que escoger Realmente es una muy buena pregunta y eso que la tenemos que responder a diario. Muchos pacientes llegan a la consulta preguntando por el tratamiento de ortodoncia lingual, ya que escucharon o leyeron que Invisalign no sirve. Otros pacientes llegan a la consulta solicitando tratamiento Invisalign ya que les […]
Que es el índice de Bolton en Ortodoncia?


Te presentamos un ejemplo para que entiendas el índice de _boltón y porque influye en la finalización y detallado de tu caso clínico.
