Artículos, promociones, casos clínicos, etc.
La Ortodoncia Infantil es la especialidad que se encarga de...
Te quiero contar un poco más de mí para que conozcas a la...
Por favor lee las siguientes recomendaciones para tener un...
Invisalign Lite en Santiago...
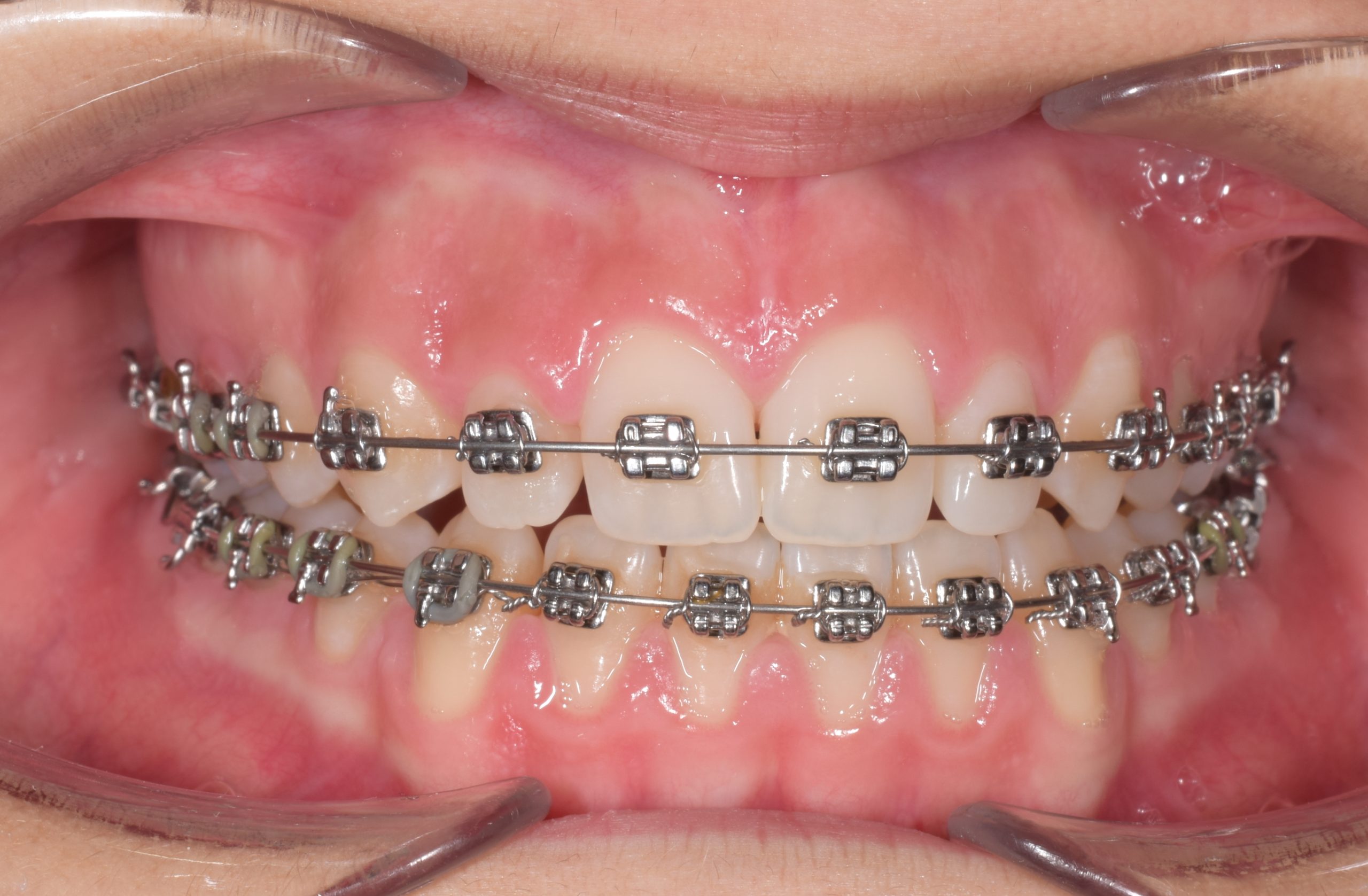
Ortodoncia con bracket metálicos Carolina es mama de Roberto...
Paso a paso todo lo que necesitas saber para iniciar un...
Ortodoncia Lingual o Invisalign? Que escoger Realmente es...








